小児矯正

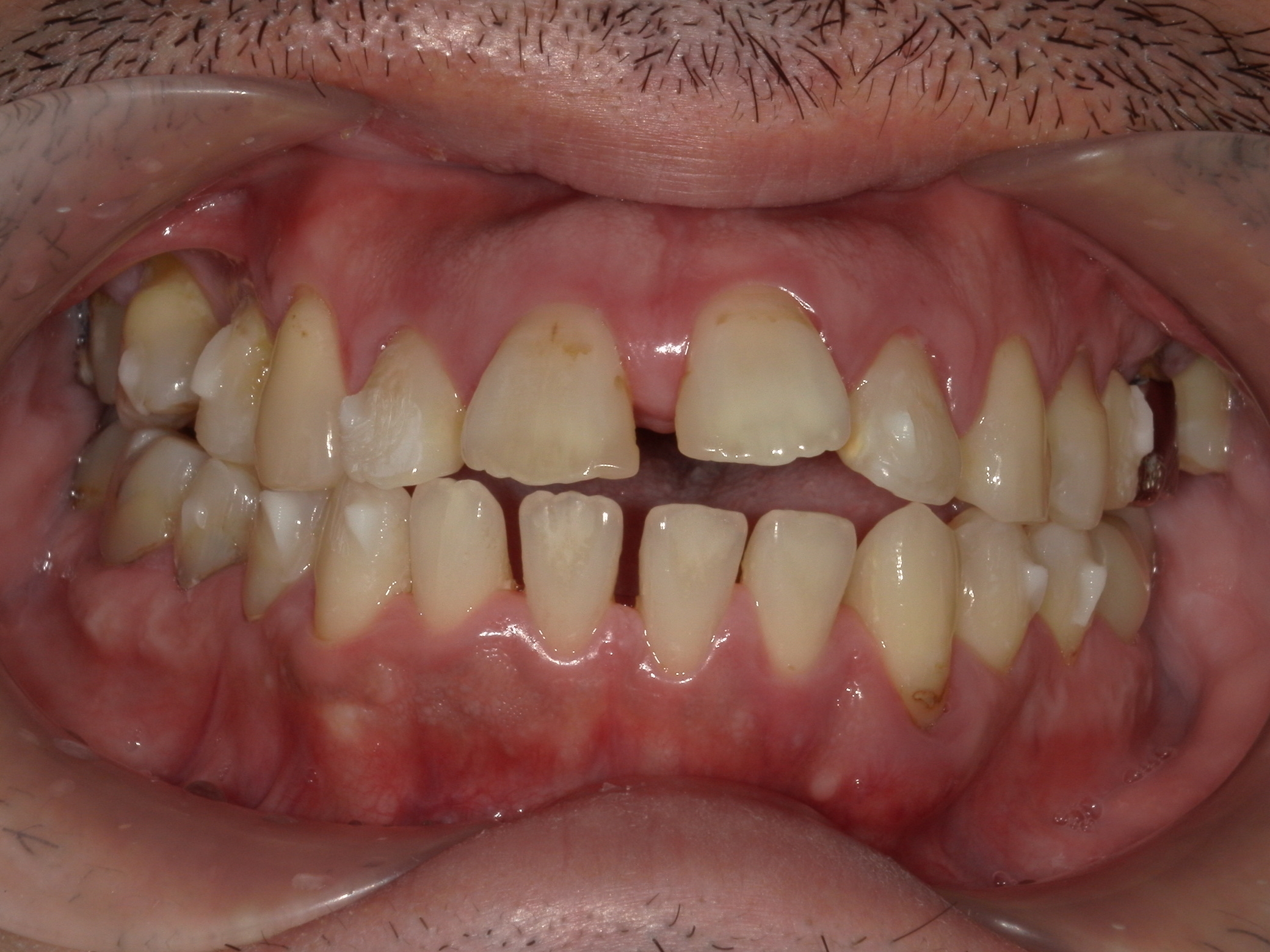
6歳前後になると乳歯から永久歯への生えかわりが始まります。 『乳歯のときにはきれいな歯並びだったのに大人の歯が曲がって生えてきた』 『重なって生えているけど、歯並びが心配』といったご両親の声が多く聞かれます。
診察していても乳歯列の段階では歯並びに問題を抱えるお子さんは少ないのですが、
永久歯への生えかわりが始まると多くのお子さんが歯並びに問題を生じるようになってきます。軽度な歯並びの乱れを含めるとおそらく半数を越えると考えています。
その時点ではお子さん自身が不便を感じることも少なく、また矯正は生えかわりきってからという先入観をお持ちの方もいらっしゃいます。
事実、矯正治療は大人になってからでも不可能ではありません。
では、いつ治療しても人生の結果は同じ でしょうか?
乳歯の奥歯が生えかわり始める年代(側方歯群交換期)になると見た目への意識は高まってきます。
お子さま自身が歯並びを気にするようになったり、誰かの何気ない一言を気にしたりがコンプレックスとなって性格の形成にまで影響することもあります。
ひいては多感な思春期や、本来充実した青年期を過ごせたはずが違ったものになってしまうかもしれません。人との出会いや恋をしたりした時。また、何かに挑戦するかの決断をするとき。一歩を踏み出す力を持てるは、その人がそれまでに育んできた心の在り方次第です。
もちろん、小児矯正をすればすべてがハッピー!なんてことは言いません。
しかし、高齢になって「矯正していたらな…」と言われる方は実は多いのです。岡村が歯科医師になって20年以上ですが、何人もそのように言われる患者さまに会ってきました。
小児矯正は、そのような後悔を引きずった人生にならないための助けとなる治療方法だと考えます。
岡村デンタルクリニックでは、これまでは入れ歯のような複雑な構造の顎の拡大装置などを使用した、一部の歯列不整(叢生)に対応した矯正治療は行ってきましたが、適応となる症例が限られていて、効果も限定的だったため、もっと幅広い歯列不整に対応した治療を提供できないものかと頭を悩ませておりました。
このたび小児用マウスピース矯正インビザラインファーストの導入により、さまざまな歯列不整への対応が可能となりました。 使用するのは透明なプラスチックのマウスピースですのでお子さまもなじみやすく、痛いと言われることもほとんどありません。
インビザラインファースト
新時代の矯正治療、インビザラインファースト
岡村デンタルクリニックでは、子どもたちの矯正治療にマウスピース型矯正装置を採用しています。
当クリニックのインビザラインファーストは、透明で目立たないマウスピース型矯正装置で、子どもたちの歯並びを効果的に改善します。
6歳から適用可能なインビザラインファーストは、子どもの顎の成長をサポートし、美しい笑顔を導くために研究と改良が続けられています。

仕上がりの美しさと快適性
インビザラインファーストは、狙った角度や高さに歯を並べることが可能で、矯正終了時の美しい歯並びを事前にシミュレーションすることができます。
装置は透明で、装着時の見た目がきれいで清潔感があります。
異物感がほとんどなく、毎日の生活においても違和感を最小限に抑えることができます。
治療の利便性と柔軟性
インビザラインファーストは取り外しが可能で、日常生活において食事や歯磨きに影響を与えません。
また、20時間以上の装着時間を要しますが、段階的に歯を動かすため、痛みが少ないのが特徴です。(ワイヤー矯正の場合多くが1か月分の移動を促す力を1回出かけますが、1週間ごとの交換などで力を分散してかけるため痛みが出にくいです。)
子どもたちがスポーツや楽器演奏をする際にも、装置を外すことで快適に活動を続けることができます。
子どもの歯並びに対する積極的なアプローチ
インビザラインファーストは、子どもの歯並びや顎の発育をサポートします。
早期の治療は、将来の虫歯や歯周病のリスクを減らし、永久歯の健康をサポートします。
お子さまの自信にもつながる美しい笑顔を提供します。
また、近年若年者における舌癌の増加が報告されています。10年前と比較し発生件数は2倍、50年前と比較すると10倍にも及ぶという報告も見られます。
その理由として、狭い歯並びが有力な原因と言われています。舌癌は歯の飛び出たところ、かぶせ物や入れ歯の尖った部分などが長年刺激となって発生すると考えられています。(喫煙や飲酒によりさらに発生確率は上がります。)歯並びが悪いと幼いうちから舌を刺激することになるので、若年者に舌癌が増えてきていると考えられているのです。
もし、歯並びを治して癌の発生を防ぐ助けとなるなら、すばらしいことだと思います。
専門家によるサポート
岡村デンタルクリニックでは、インビザライン社の認定を受けたプラチナエリートプロバイダーのライセンスの中川智彦先生が、お子様の治療を丁寧にサポートします。
治療計画は、子ども一人ひとりの歯の成長状態に合わせてカスタマイズされ、最適なケアを提供します。
中川智彦先生は、年間100件を超えるインビザラインファースト症例を治療するスペシャリストです。
インビザラインファーストはお子さまひとりひとりにあわせて治療方針が立案されます。立案する矯正医によりその内容はすべて異なります。
中川智彦先生は、膨大なケースのインビザラインファースト治療で多くのお子さまやそのご家族を笑顔にしてきた実績があります。インビザラインファーストに関する歯科医師向けの講演会や講習会も多数行われております。
「一般歯科医院である岡村デンタルクリニックで矯正治療は大丈夫なの?」と、思われる方もいらっしゃると思います。中川智彦先生が治療立案を行っていますので、安心してお任せください。
インビザラインファーストで、お子様の歯並びと笑顔をサポートします。私たちは、個々のお子様に最適な治療計画を立て、安心して治療を受けられる環境を提供します。矯正治療の相談はお気軽にどうぞ。お子様が自信を持って笑えるようにサポートします。

岡村デンタルクリニックでインビザラインファーストを行う更なるメリット
インビザラインファーストでの矯正治療と通常の定期検診、虫歯ができてしまった場合の治療や抜く必要ができた乳歯の抜歯などが平行して行えます。一元の管理が可能ですので、矯正を行う前の時期から治療後の保定やクリーニングまでをトータルでケアさせて頂けます。
また、もう一つもメリットとしてインビザラインGoでの成人矯正が可能なことをあげられます。
インビザラインGoは成長期以降の永久歯列に対するマウスピース矯正治療のひとつで、前歯を中心とした比較的軽度な歯列不整に対して適応される治療方法です。
インビザラインファーストでの治療は、実はすべての症例がインビザラインファーストだけで終わるとは限りません。永久歯の生えそろい方や成長期の骨格の変化により、成人期においてもう一段階治療が必要な場合があります。
(小児期の矯正治療をⅠ期治療、成人期の矯正治療をⅡ期治療といいます。)
インビザラインファーストを行っていれば、重症の歯列不整にはなりにくいです。ただ、軽度な歯列不整が永久歯で生じることはあります。その時にインビザラインGoが非常に適しています。インビザラインGoは矯正専門医で行われるフルサイズのインビザラインと比べて安価で短期間で終了できるのが大きな特徴です。
一人の歯科医師がインビザラインとGoの両方のライセンスを持つことはできません。ですので、矯正専門医院でインビザラインGoを行えることが少ないのです。
さらに、岡村デンタルクリニックでインビザラインファースト治療を受けていた場合には、成人期においてインビザラインGoでの治療を希望された場合には、特別価格にて治療をお受けいたします。
ムーシールド

ムーシールドとは、3歳から8歳ころの乳歯列から歯の生えかわり初めの時期のお子さんを対象とした、反対咬合を改善するための矯正治療用マウスピースとそれを使用した治療方法です。
主な特徴と仕組み
特徴:既製品のプラスチック製の透明なマウスピースを使用します。
早期治療のメリット: 乳歯の時期から始めることで、将来的に骨格が固定されてから行う大掛かりな手術や本格的な矯正の必要性を減らせる可能性があります。
受け口の改善に特化: 舌の位置や口周りの筋肉のバランスを整えることで、下顎が前に出るのを防ぎ、正しい噛み合わせへ誘導します。
就寝時の装着: 原則として寝ている間に使用します。日中も装着するとより効果的ですが、基本的には夜間のみで日常生活への負担が少ないのがメリットです。
デメリット:反対咬合にしか適応できません。また、ムーシールドが効果のない反対咬合も存在します。
プレオルソ

プレオルソは、4~10歳ごろのお子さまを対象とした、柔らかいマウスピース型の矯正装置です。日中1〜2時間と就寝時の装着により、歯並びの悪化原因となる口周りの筋肉や舌の癖を改善し、顎の成長を促して正しい位置への永久歯の萌出を誘導します。装置は取り外し可能で、痛みが少なく、将来の本格矯正の負担を減らす効果も期待できます。
- 顎の成長をサポート: 歯を直接動かすのではなく、口周りの筋肉のバランスを整え、顎の正しい成長を促進します。
- 負担が少ない: マウスピースは柔軟な素材(ポリウレタン、ゴムのような質感です)でできており、痛みや違和感が少ないです。
- 装着は日中1-2時間+就寝時: 学校へ持っていく必要がなく、日常生活への支障が少ないです。
- 虫歯リスクが低い: 取り外しができるため、通常通り歯磨きができ、ケアが簡単です。
- 悪習癖の改善: 口呼吸を鼻呼吸へ改善する、舌の正しい位置を教えるなど、根本的な原因にアプローチします
成人矯正
口元の見た目を良くしたい
目立たない矯正装置で治療したい
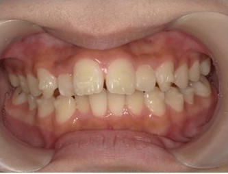
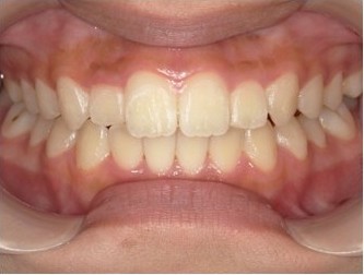
岡村デンタルクリニック症例

30代男性
治療前

30代男性
治療後

10代女性
治療前

10代女性
治療後
インビザラインGo
矯正治療の目的は、歯列を整えて「バランスのよいかみ合わせ」と「美しい歯並び」を作ることです。
整った歯並びは健康的で清潔な印象を与えるだけでなく、むし歯や歯周病も予防できるという大きなメリットがあります。
また、近年若年者における舌癌の増加の報告がなされ、顎が小さくなって歯並びが悪い人が増えたことが要因として挙げられています。歯並びを治すことは舌癌などの予防として効果的な可能性もあるのです。
矯正装置にはさまざまな種類があり、岡村デンタルクリニックでは目立ちにくいマウスピースタイプの矯正『インビザラインGo』を行っております。
成長期を過ぎて永久歯列が出来上がった状態であれば高齢の方でも対応可能です。お気軽にご相談ください。
透明で目立たないマウスピース型矯正装置
【インビザライン】
いつでも取り外しができる、薄く透明なプラスチック製のマウスピース型矯正装置「インビザライン」を導入しています。
全世界100ヵ国以上で導入されており、1000万件を超える臨床データに基づいた研究・開発が続けられている矯正装置です。
オーダーメイドのマウスピースを1日20時間装着し、2週間ごとに治療の進み具合を確認しながら新しいマウスピースに交換することで徐々に歯列を矯正していきます。
ご自身でいつでも取り外しが可能なので食事や歯磨きも快適、衛生的にも安心です。
目立たずに矯正治療をしたい方など、ご興味のある方はお気軽にご相談ください。
※完成物薬機法対象外の矯正歯科装置であり、医薬品副作用被害救済制度の対象外となる場合があります。

小児矯正の費用の医療費控除について
小児矯正治療でかかった費用は医療費控除の対象となり税務署への簡単な確定申告でお金が戻ってきます。矯正治療を検討するにあたっては、費用負担軽減のためにぜひご活用ください。
単なる審美目的(見た目を良くするため)の成人矯正は対象外となるようです。
また、矯正治療以外の歯科治療も対象となる場合もあります。
医療費控除って?
医療費控除とは、自分や生計を共にする家族のために1年間(1月~12月)に支払った医療費の合計が、原則10万円(所得200万円未満は所得の5%)を超えた場合に、確定申告を行うことで所得から差し引くことができる制度です。税金が還付(返金)され、住民税も安くなる可能性があります。
*本人の医療費のほか家計が同じ配偶者や親族の医療費も対象となります。
共働きの夫婦で妻が扶養家族からはずれていても、妻の医療費を夫の医療費と合算できます。
医療費の領収書等を確定申告書に添付するので、領収書等は大切に保管しておいてください。
医療費控除の計算式
控除額は以下の式で算出します(上限は200万円)。
(1年間に支払った医療費 - 保険金等で補填された額)- 10万円(または所得の5%)
※保険金等とは、入院給付金や高額療養費、出産育児一時金などを指します。
*1:医療費控除額は最高で200万円
*2:生命保険契約などで支給される入院費給付金、健康保険などで支給される療養費
*3:総所得が200万円未満の方は「10万円」の代わりに「総所得×5%」を差し引く
医療費控除に必要なもの
・治療費の領収証
・医療保険などで補填された金額のわかるもの
・認印、還付金を受け取る口座番号(本人名義のもの)
・還付申告をする年分の源泉徴収票(給与所得者の場合)
・税務署でもらう書類(申告書・医療費の明細書)
詳しい内容をお知りになりたい方は管轄の税務署にご確認ください
